Оставить заявку
Услуги Врачам Пациентам Партнёрство Новости О компании Прайс-лист Контакты Личный кабинет врача Город
Город Прайс-лист Контакты Личный кабинет врача
Онлайн заявка
Услуги Врачам Пациентам Партнёрство Новости О компании
Новости Мероприятия
Клинический случай. Эндодонтия
17 мая 2020
Лицензия, г. Кемерово
14 мая 2020
Клинический случай
14 мая 2020
Лицензия, г. Москва
08 мая 2020
Клинический случай. Хирургия
22 апреля 2020
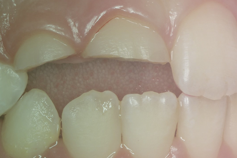
Клинический случай. Терапия
10 апреля 2020
Загрузить больше
01 06 07 08
Voxel
  • О компании
  • Врачам
  • Партнёрство
  • Контакты
  • Услуги
Клиентам
  • Наши услуги
  • Прайс-лист
  • Новости
  • Мероприятия
  • Консультация
Врачам
  • Наши услуги
  • Прайс-лист
  • Новости
  • Личный кабинет
  • Партнёрство
Соц. сети
Vkontakte YouTube Одноклассники
Контакты
Адрес центра
2026 © Voxel - независимый рентген-диагностический центр Политика конфиденциальности
Записаться онлайн
Выберите свой город
Выберите ближайший рентген центр
Ваша заявка
принята!

В скором времени наш
менеджер свяжется с вами,
оставайтесь на связи

Прекрасно